Zoll findet Drogen - versteckt im Magen eines Mannes
Veröffentlicht: Freitag, 14.11.2025 17:49
Er war nervös, hatte kaum Gepäck dabei, und verstrickte sich in widersprüchliche Aussagen - so wurden Zollbeamte am Fernbusbahnhof des Flughafens Köln / Bonn auf einen Mann aus den Niederlanden aufmerksam - wie sich herausstellte, war der Mann ein Drogenkurier.

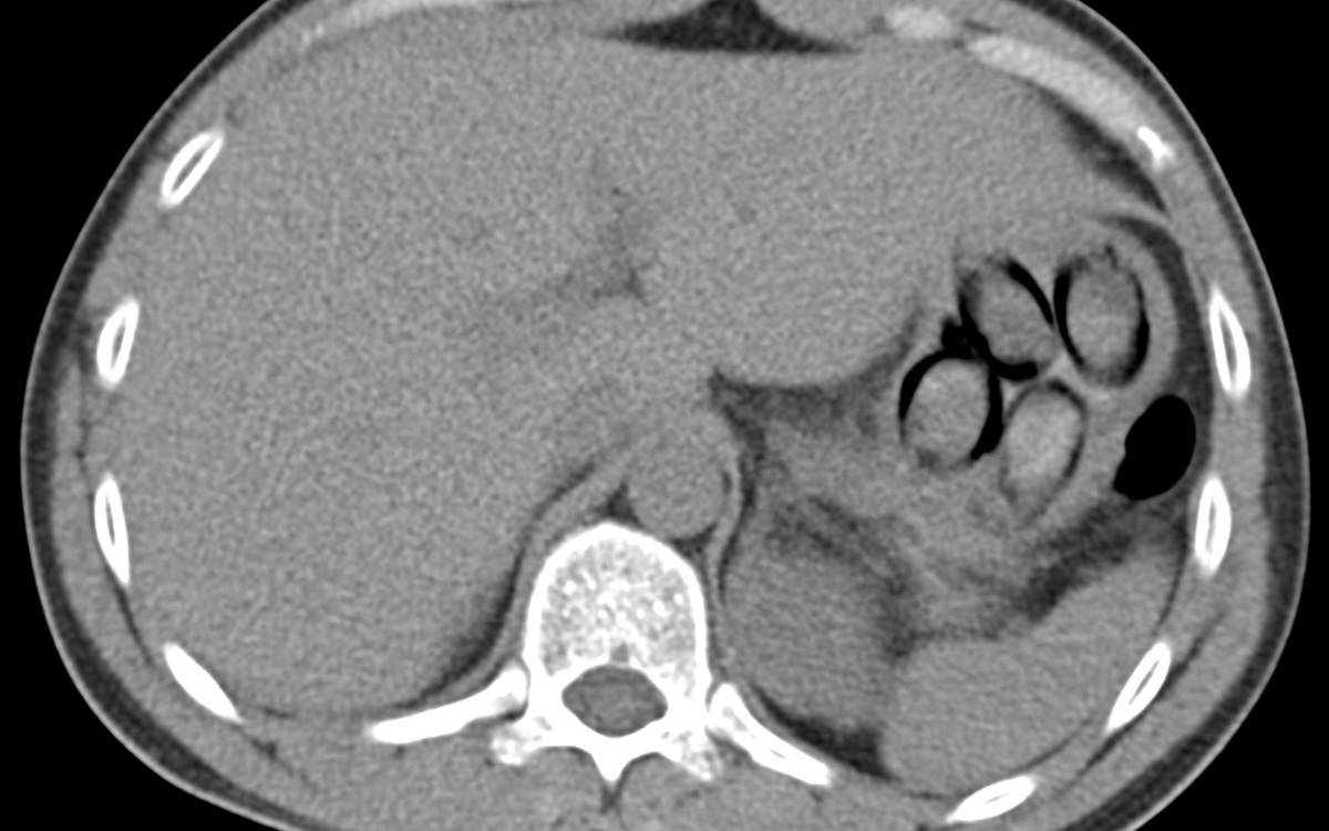
Die Drogen waren im Körper des Mannes versteckt
Er kam aus Den Haag und wollte nach Frankfurt. Die Zollbeamten machten einen sogenannten Wisch-Test an den Handinnenflächen des Mannes, der Test reagierte auf Kokain. Eine Röntgenaufnahme in einem nahegelegenen Krankenhaus bestätigte die Vermutung der Beamten. Der Mann hatte Beutelchen mit Kokain in seinem Magen. Insgesamt waren es sieben davon, mit über einhundert Gramm Koks.


